ПОСЛЕДНИЕ НОВОСТИ

04:51 31/03
Війська РФ з артилерії вдарили по Ромашковому на Херсонщині: загинув чоловік      
04:24 31/03
Дронові атаки Херсона, підозри та вироки за колабораціонізм. 1497 день війни: основні події у Херсонській області      
17:58 30/03
Чи очікувати магнітні бурі 31 березня 2026 року?      
17:54 30/03
Туман і невеликий дощ. Якою буде погода на Херсонщині 31 березня      
17:34 30/03
На Херсонщині у «червоній зоні» досі залишаються понад 30 дітей      
17:15 30/03
На Херсонщині за день поранено трьох цивільних через російські атаки      
17:00 30/03
День 1496. 30 березня. Що обговорюють херсонці у соцмережах      
16:59 30/03
Стало відомо про загибель військового з Костянтинівської громади Володимира Гоголюка      
16:56 30/03
Під обстрілами та загрозою дронів: як на Херсонщині евакуюють дітей з "червоної зони"      
16:39 30/03
Херсонські спортсмени посіли призові місця на чемпіонаті України з бойового самбо      
16:17 30/03
Окупанти планують збудувати нові автостанції в Генічеську та Щасливцевому      
16:03 30/03
Підтвердили загибель військового з Херсонщини, який вважався зниклим безвісти з жовтня 2024 року      
15:29 30/03
Місцеперебування далекобійника з Чорнобаївки Олександра Строгана, якого у 2022 році викрали росіяни досі невідоме      
15:27 30/03
Шість ФОПів із Херсонської області під санкціями РНБО, - YouControl      
15:05 30/03
Внаслідок російських атак постраждали троє людей: як минув день на Херсонщині      
15:00 30/03
Фотофакт з минулого: як і навіщо на залізничному роз’їзді біля Антонівки укладали нову колію      
14:52 30/03
Ексспівробітниця Херсонської міськради отримала другий вирок за колабораціонізм      
14:50 30/03
У Чорнобаївській громаді планують підвищити тарифи на водопостачання      
14:24 30/03
Минулого року дружина херсонського депутата Ігоря Осауленка придбала будинок на Тернопільщині      
14:24 30/03
"Мій номер знають всі, і кожен день дзвонять". Волонтер про евакуацію людей із небезпечних населених пунктів Херсонщини      
14:10 30/03
Посадовців КЕВ на Херсонщині судитимуть через закупівлю дров за завищеними цінами      
14:08 30/03
Третина опитаних херсонців вірить у перемогу та членство в ЄС вже цього року, – дослідження      
13:45 30/03
На лівобережжі Херсонщини окупанти обходять квартири та змушують місцевих реєструвати домашні роутери      
13:36 30/03
Зросла кількість дронових атак. Армія РФ за тиждень запустили на правобережжя Херсонщини понад 4400 БпЛА      
13:23 30/03
Судять окупаційного коменданта Скадовська за викрадення і катування мера та цивільних      
13:20 30/03
Окупаційній очільниці Абрикосівки на Херсонщині оголосили підозру у колабораціонізмі      
13:12 30/03
У Скадовську окупанти судитимуть місцевого жителя за “опір поліції”      
12:37 30/03
"Потрібно замінити чотири, одну — відремонтувати". Що відомо про системи оповіщення на Херсонщині      
12:30 30/03
Ворог запустив по Херсонщині майже 5 тисяч дронів за минулий тиждень      
12:27 30/03
Масові повідомлення про «замінування». Поліція отримала понад тисячу звернень      
12:25 30/03
СБУ повідомила про підозру чоловіку, який облаштував блокпости і позицій військових РФ      
11:57 30/03
На Херсонщині під санкціями РНБО перебувають шестеро підприємців      
11:51 30/03
Російські атаки на Херсонщині. Одна людина загинула, троє поранені      
11:49 30/03
Завідувачці кафедри в окупаційному "Херсонському технічному університеті" повідомили про підозру у колабораціонізмі      
11:33 30/03
Військові РФ атакували безпілотником Корабельний район Херсона: травмована жінка      
11:26 30/03
Функціональні шуми і вади: чим вони відрізняються і чи треба панікувати      
11:25 30/03
Яка погода очікується в Херсоні та області 31 березня 2026 року?      
11:15 30/03
З Новокаїр на Херсонщині евакуювали вісьмох людей      
11:15 30/03
Пройти навчання та отримати роботу – програма для підтримки сільського населення Херсонщини й Миколаївщини      
Все новости

Архив публикаций

«    Март 2026    »
ПнВтСрЧтПтСбВс
 1
2345678
9101112131415
16171819202122
23242526272829
3031 
СПЕЦТЕМЫ


    Після удару ворожого дрона – знову в строю: про небезпечну службу на Херсонщині поліцейського-кінолога Олега Пєчкова та його чотирилапих напарників

    Служба у прифронтових районах Херсонщини – це не лише про людей. Уже понад рік у найнебезпечніших зонах області несе службу поліцейський -кінолог Олег Пєчков разом зі своїми чотирилапими напарниками Люсі та Фані. Вони разом перевіряють автотранспорт на блокпостах, шукають вибухонебезпечні предмети, виїжджають на місця злочинів та допомагають рятувати життя.

    Про це розповіли у пресслужбі поліції Херсонської області.

    Під час одного з чергувань на блокпосту поліцейський із собакою потрапили під атаку ворожого FPV-дрона. Олег накрив собою пса і таким чином прийняв основний удар на себе. Обидва отримали поранення, та після лікування й реабілітації поліцейський і його вірний напарник знову в строю. Вони щодня виконують завдання, не втрачаючи віри у перемогу та силу своєї справи. Їх історія – приклад справжнього партнерства, вірності та мужності навіть у найнебезпечніших умовах.
    Стати поліцейським Олег мріяв із дитинства, яке провів у Великій Олександрівці. Його батько – ветеран служби, колишній міліціонер. Саме він став для хлопця прикладом гідності, відданості і честі. Проте не одразу хлопець визначився з напрямом роботи, яка була б йому до душі. Усе змінило спілкування зі знайомим, який працював кінологом і часто ділився історіями про роботу з собаками. А оскільки хлопець завжди любив чотирилапих і мав із ними особливий контакт, вибір став очевидним. 

    Сьогодні Олег Пєчков – досвідчений спеціаліст. Він стверджує, що в роботі з собаками важливе відчуття партнера. Його чотирилапі напарники – не просто службові тварини, а друзі, з якими щодня розділяє ризики і труднощі. Разом із Люсі він проходив навчання у академії, ця собака спеціалізується на пошуку зниклих людей та речей. Пес Фані виявляє вибухонебезпечні предмети, заборонені речовини, зброю та боєприпаси. 

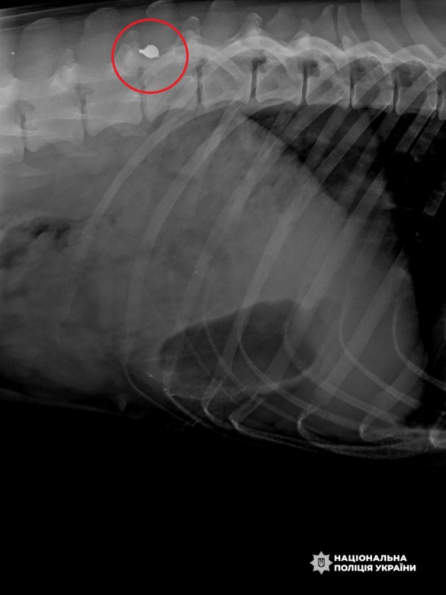
    Одного разу під час служби на блокпосту поліцейський та Фані потрапили під атаку ворожого FPV-дрона. Вибух пролунав поруч із бліндажем, куди вони ледь встигли забігти – обидва дістали поранення. 

    «Того дня ми разом перевіряли транспортний засіб на наявність вибухонебезпечних предметів. Коли відпустили з огляду машину, над блокпостом завис ворожий FPV-дрон. Всі одразу стали кричати «До укриття» та бігти туди. Однак безпілотник почав швидко знижуватися та наздоганяти, хотів залетіти за нами до бліндажа. Вибух пролунав біля укриття й уламки поцілили у нас із собакою. Я накрив собою пса, щоб він менше постраждав. Мене ж врятували захисний шолом та бронежилет».

    До медичного закладу їх евакуювали колеги. Олег дістав вогнепальні поранення обличчя й руки. У Фані ж ветеринари діагностували контузію, уламкове поранення біля хребта, порізи живота й носа. Шлях лікування і реабілітації був непростий, та вони все витримали. 

    Після повернення на службу кінолог разом із собаками продовжує виконувати завдання, як і раніше – під звуки артилерії, дронів і під постійною загрозою нових атак. Вони знову разом перевіряють автівки на блокпостах, патрулюють деокуповані території, розшукують вибухонебезпечні предмети, допомагають розкривати злочини. І в кожному чергуванні – віра у перемогу. Бо саме заради цього поліцейський-кінолог Олег Пєчков щодня заступає на службу, незважаючи на обстріли та небезпеку.«Для мене перемога – це звільнення всіх наших земель від окупантів. Коли перестануть летіти ракети по мирних містах, лунати вибухи, коли перестануть гинути люди та всі зможуть радіти життю на своїй землі, коли всі почуватимуться у безпеці та матимуть впевненість у завтрашньому дні», – говорить поліцейський. 





    Похожие публикации

    Добавьте комментарий




    0"/>

    ПОСЛЕДНИЕ НОВОСТИ

    04:51 31/03
    Війська РФ з артилерії вдарили по Ромашковому на Херсонщині: загинув чоловік      
    04:24 31/03
    Дронові атаки Херсона, підозри та вироки за колабораціонізм. 1497 день війни: основні події у Херсонській області      
    17:58 30/03
    Чи очікувати магнітні бурі 31 березня 2026 року?      
    17:54 30/03
    Туман і невеликий дощ. Якою буде погода на Херсонщині 31 березня      
    17:34 30/03
    На Херсонщині у «червоній зоні» досі залишаються понад 30 дітей      
    17:15 30/03
    На Херсонщині за день поранено трьох цивільних через російські атаки      
    17:00 30/03
    День 1496. 30 березня. Що обговорюють херсонці у соцмережах      
    16:59 30/03
    Стало відомо про загибель військового з Костянтинівської громади Володимира Гоголюка      
    16:56 30/03
    Під обстрілами та загрозою дронів: як на Херсонщині евакуюють дітей з "червоної зони"      
    16:39 30/03
    Херсонські спортсмени посіли призові місця на чемпіонаті України з бойового самбо      
    16:17 30/03
    Окупанти планують збудувати нові автостанції в Генічеську та Щасливцевому      
    16:03 30/03
    Підтвердили загибель військового з Херсонщини, який вважався зниклим безвісти з жовтня 2024 року      
    15:29 30/03
    Місцеперебування далекобійника з Чорнобаївки Олександра Строгана, якого у 2022 році викрали росіяни досі невідоме      

    15:27 30/03
    Шість ФОПів із Херсонської області під санкціями РНБО, - YouControl      
    15:05 30/03
    Внаслідок російських атак постраждали троє людей: як минув день на Херсонщині      
    15:00 30/03
    Фотофакт з минулого: як і навіщо на залізничному роз’їзді біля Антонівки укладали нову колію      
    14:52 30/03
    Ексспівробітниця Херсонської міськради отримала другий вирок за колабораціонізм      
    14:50 30/03
    У Чорнобаївській громаді планують підвищити тарифи на водопостачання      
    14:24 30/03
    Минулого року дружина херсонського депутата Ігоря Осауленка придбала будинок на Тернопільщині      
    14:24 30/03
    "Мій номер знають всі, і кожен день дзвонять". Волонтер про евакуацію людей із небезпечних населених пунктів Херсонщини      
    14:10 30/03
    Посадовців КЕВ на Херсонщині судитимуть через закупівлю дров за завищеними цінами      
    14:08 30/03
    Третина опитаних херсонців вірить у перемогу та членство в ЄС вже цього року, – дослідження      
    13:45 30/03
    На лівобережжі Херсонщини окупанти обходять квартири та змушують місцевих реєструвати домашні роутери      
    13:36 30/03
    Зросла кількість дронових атак. Армія РФ за тиждень запустили на правобережжя Херсонщини понад 4400 БпЛА      
    13:23 30/03
    Судять окупаційного коменданта Скадовська за викрадення і катування мера та цивільних      
    13:20 30/03
    Окупаційній очільниці Абрикосівки на Херсонщині оголосили підозру у колабораціонізмі      

    13:12 30/03
    У Скадовську окупанти судитимуть місцевого жителя за “опір поліції”      
    12:37 30/03
    "Потрібно замінити чотири, одну — відремонтувати". Що відомо про системи оповіщення на Херсонщині      
    12:30 30/03
    Ворог запустив по Херсонщині майже 5 тисяч дронів за минулий тиждень      
    12:27 30/03
    Масові повідомлення про «замінування». Поліція отримала понад тисячу звернень      
    12:25 30/03
    СБУ повідомила про підозру чоловіку, який облаштував блокпости і позицій військових РФ      
    11:57 30/03
    На Херсонщині під санкціями РНБО перебувають шестеро підприємців      
    11:51 30/03
    Російські атаки на Херсонщині. Одна людина загинула, троє поранені      
    11:49 30/03
    Завідувачці кафедри в окупаційному "Херсонському технічному університеті" повідомили про підозру у колабораціонізмі      
    11:33 30/03
    Військові РФ атакували безпілотником Корабельний район Херсона: травмована жінка      
    11:26 30/03
    Функціональні шуми і вади: чим вони відрізняються і чи треба панікувати      
    11:25 30/03
    Яка погода очікується в Херсоні та області 31 березня 2026 року?      
    11:15 30/03
    З Новокаїр на Херсонщині евакуювали вісьмох людей      
    11:15 30/03
    Пройти навчання та отримати роботу – програма для підтримки сільського населення Херсонщини й Миколаївщини      
    Все новости

    Наверх